La historia de LUZ (así la ha bautizado Macu) es una historia triste y desgarradora, que por desgracia es más común y frecuente de lo que pensamos, en este país llamado España.
Esta pequeña mastina, de apenas un año de vida, apareció vagando por las calles de un pueblo de la Extremadura profunda en las condiciones que os mostramos en las imágenes (que, por cierto, os avisamos que son imágenes impactantes y fuertes de visualizar).
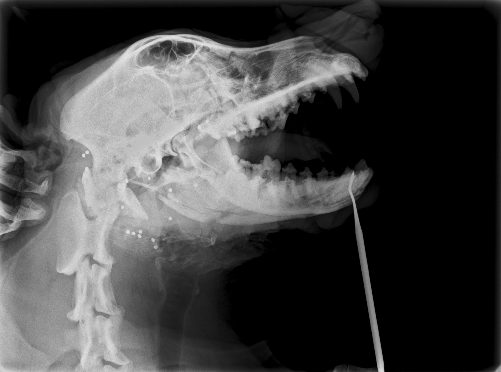
Con la mandíbula rota y la cara destrozada estuvo varios días sin rumbo, siendo vista por mucha gente que decidió “mirar a otro lado” sin ayudarla ni auxiliarla; hasta que una buena persona la cogió y la llevó a un centro veterinario.



Una vez allí, los propios veterinarios se escandalizaron de lo que vieron.
Dada la gravedad, magnitud y evolución de la herida, se sospecha que las lesiones fueron producidas intencionadamente, con maldad y alevosía, y se produjeron en varias ocasiones. No se sabe lo que le hicieron, pero piensan que el primer golpe le destrozó la mandíbula y la boca por completo y debió ser con algún objeto contundente y duro. Al no conseguir “acabar con su vida”, le dispararon varias veces, desde muy corta distancia, en la cabeza (que son las balas que se ven en sus radiografías). Recibió muchos disparos, lo que acabó por destrozarle la mandíbula, el maxilar, los huesos nasales y la boca.




Ante esta situación se pusieron en contacto con Macu y LUZ llegó a BICHOSRAROS.
En cuanto llegó, le preparamos un lugar especial, calentito y tranquilo. Le limpiamos un poco las heridas y descubrimos que también le habían disparado en una pierna, donde tenía una infección grave. Deciros que mientras la curábamos no paraba de darnos lametones y besitos (como dándonos las gracias). Es un ser de luz lleno de bondad.
Al día siguiente fue llevada al hospital veterinario donde le realizaron una intervención quirúrgica para valoración del daño, limpieza exhaustiva de la herida y cierre parcial de la misma dejando drenaje. La infección de la herida era tan grave que no pudieron hacer más. Por el momento, LUZ está recibiendo tratamiento antibiótico intensivo, antiinflamatorios y analgésicos para control de la infección y, según evolucione, se planteará realizar otra cirugía para reparación de fractura mandibular.
Han pasado pocos días de su cirugía y es pronto para saber cómo va a evolucionar, pero LUZ está demostrando que tiene ganas de vivir, come con muchas ganas la comida casera y blandita que le cocina mamá Macu, se deja curar y se toma la medicación fenomenal y, cada vez que nos ve, ¡solo quiere mimos y caricias! ¡Y eso es lo que vamos a darle sin falta: mucha dosis de amor, cariño y mimos!






Llegados a este punto, seguro que varios de vosotros os habréis hecho las mismas preguntas que nosotras y a las cuales no conseguimos encontrarles respuestas:
¿CÓMO ES POSIBLE QUE ALGUIEN PUEDA HACERLE ALGO ASÍ A UN SER INDEFENSO?
¿Por qué estos abusos, maltratos y asesinatos de seres inocentes siguen quedando impunes a día de hoy?
¿Cómo es posible que nadie haga nada por esta criatura ni se busque al culpable?
¿Cómo es posible que esto siga ocurriendo en España cada vez más frecuentemente?
En fin, ahora lo más importante y en lo que vamos a focalizar toda nuestra energía es en curar a esta preciosa pequeña llamada LUZ!
¡Os iremos informando de cómo va evolucionando y de cómo va su proceso de recuperación y tratamiento!
¡GRACIAS POR ESCUCHARNOS Y ESTAR A NUESTRO LADO EN MOMENTOS TAN DUROS!
¿TE GUSTARÍA SER SU PADRINO/MADRINA?
Así nos ayudarás con su manutención, sus gastos y sus cuidados. Accede a nuestro enlace:
www.bichosraros.org – apartado HAZTE SOCIO.
Si prefieres hacer tu aportación económica, puedes hacerlo en la cuenta:
ES18-2100-3653-3522-0025-9821.
